Skip Menu
Continue
  • 225 Broadway,
  • Suite 101,
  • New York, NY 10007
  • Home
  • About Us
    • Our Office
    • New Patients
  • Meet Our Specialists
    • Dr. Rashmi Ambewadikar, Pedodontist
    • Dr. Cho , Endodontist
    • Dr. Foroughi , Endodontist
    • Dr. Wayne Maurer, Oral Surgeon
    • Dr. Norman Gold, Oral Surgeon
    • Dr. Jessica Schwartz, Periodontist
  • Services
      • Periodontics
      • Periodontal Cleanings
      • Scaling & Root Planing
      • Pocket Reduction Procedures
      • Dental Implants
      • Bone Grafts
      • Oral Surgery
      • Wisdom Teeth Extractions
      • Dental Implants
      • Bone Grafts
      • Sinus Lifts
      • Cyst/Abscess Removal
      • Endodontics
      • Diagnostic Services
      • Root Canals
      • Tooth Avulsion
      • Toothache
      • Orthodontics/Pedodontics
      • Initial Oral Examination
      • Sealants
      • Restorative Dentistry for Children
      • Braces
      • Invisalign®
      • Retainers
  • Dental Health
  • Contact
    • Contact Us
    • Request Appointment

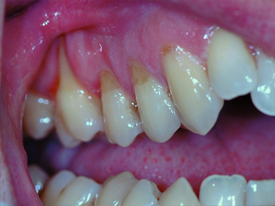
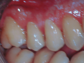
Treatment of Gum Recession

Our Location

225 Broadway
Suite 101
New York, NY 10007
(212) 374-9500

Follow Us